Sinta a segurança de ser atendido por quem é autoridade internacional em reabilitação oral.
Tecnologia alemã e tradição desde 1933 no Batel.
Agilidade com laboratório digital próprio.
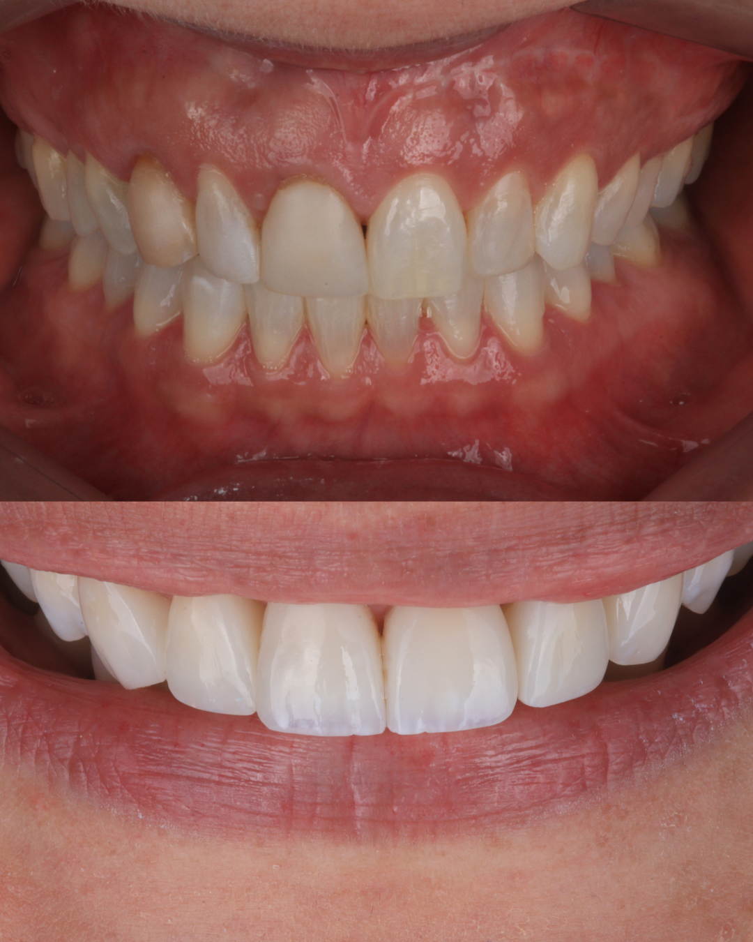
Facetas que não parecem artificiais,
mas sim a sua melhor versão.
Três gerações cuidando das famílias mais tradicionais de Curitiba.








O "padrão ouro" da odontologia mundial.
Durabilidade e estética incomparáveis.
Vagas limitadas para consultoria estética este mês.
Tecnologia suíça minimamente invasiva.
Recupere sua função mastigatória com precisão digital.
Escaneamento 3D completo.
Diagnóstico da sua saúde bucal em minutos.
Quero expressar aqui a minha satisfação com a experiência que estou tendo no "INSTITUTO ZÉTOLA".
Desde o primeiro contato, com a recepção e toda equipe enfim, foram super atenciosos.
Dr Felipe que cuida da parte do planejamento e proposta, apresentou tudo de forma clara e transparente, não medindo esforços e tempo para tal. Teve todo o cuidado, dedicação e atenção no que foi necessário para meu esclarecimento
Dr André Zétola é um profissional excepcional, com um atendimento impecável e uma paciência infinita esclarecendo todas as minhas dúvidas, explicando cada detalhe com calma e dedicação.
Parabéns à equipe pelo trabalho incrível!
Paciente - Fátima Barreto
Quero deixar aqui minha eterna gratidão ao Dr. André Zetola e a toda sua equipe.
O Geovanni sofreu um grave acidente de moto, onde a responsável infelizmente fugiu do local.
Ele teve várias fraturas e também quebrou vários dentes, o que afetou muito não só a saúde, mas também o emocional dele.
Desde o primeiro momento, o Dr. André nos acolheu com muito carinho, atenção e humanidade. Ele não cuidou apenas da parte estética e do tratamento dentário, mas também ajudou muito na recuperação da autoestima e na parte emocional do Geovanni.
Hoje só temos gratidão por todo cuidado, dedicação e profissionalismo. Existem profissionais bons, mas também existem aqueles que fazem a diferença na vida das pessoas, e o Dr. André é um deles.
Muito obrigada por tudo!
Paciente-
Victoria valeska klein
Excelência, precisão e resultado impecável!
Fui submetida a uma cirurgia bucomaxilofacial complexa para correção de assimetria, e o resultado superou todas as minhas expectativas.
Desde a primeira consulta, o Dr. demonstrou altíssimo nível técnico, segurança, clareza nas explicações e um cuidado humano excepcional.
A cirurgia foi extremamente bem executada, com um resultado harmonioso, natural e funcional, além de um pós-operatório muito melhor do que eu imaginava, graças à condução correta e ao acompanhamento atento.
Sou profundamente grata por todo o profissionalismo, atenção aos detalhes e excelência no trabalho.
Recomendo com total confiança para quem busca um bucomaxilo realmente diferenciado.
Paciente - Caroline Oglio
Fale pelo whatsapp